
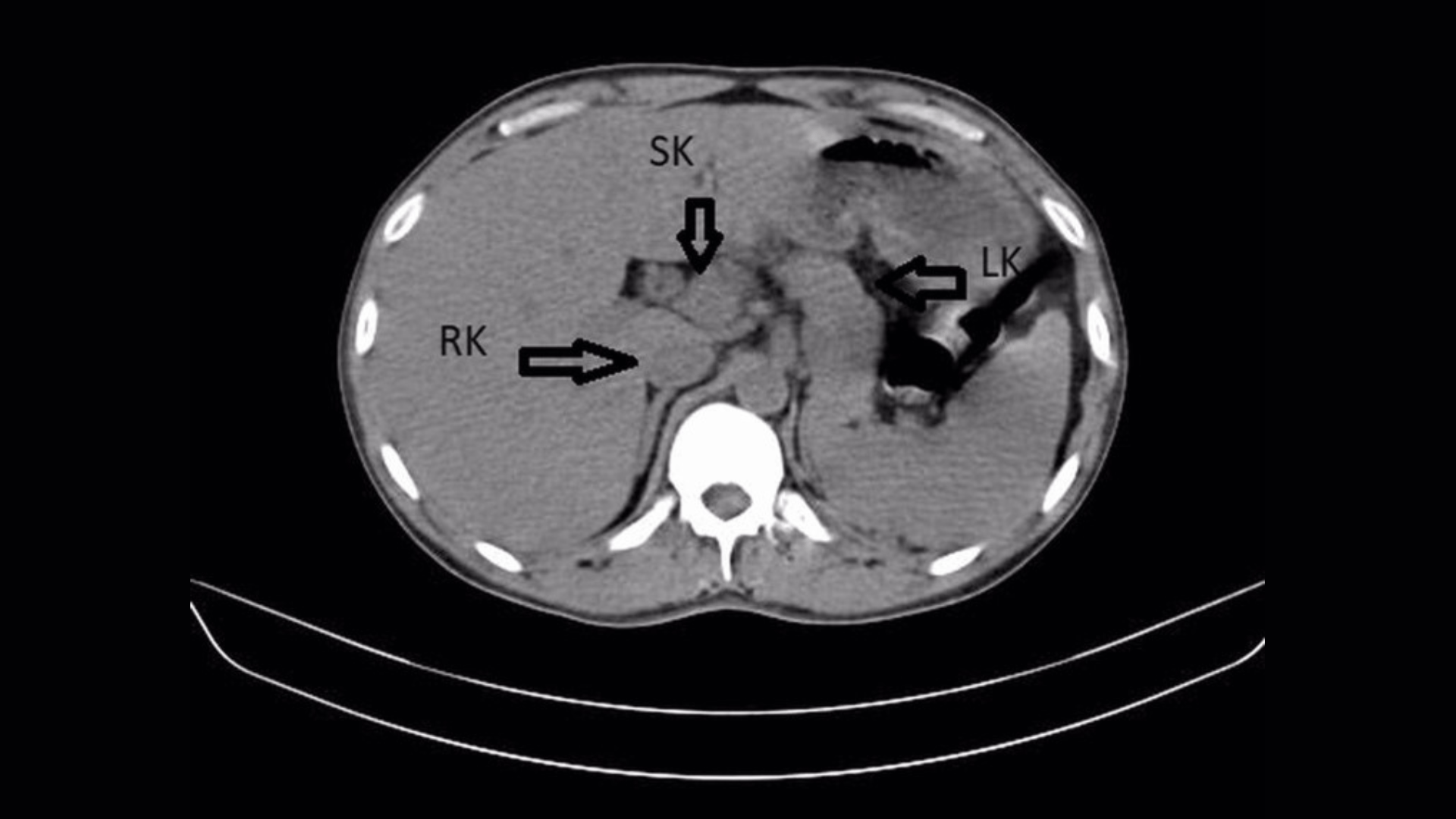
Diagnostisches Dilemma: Rückenschmerzen eines Mannes führten zur Entdeckung einer dritten Niere: Bei einem Mann, der wegen einer Harnwegsinfektion behandelt wurde, stellte sich heraus, dass er eine seltene „überzählige Niere“ hatte.
https://www.livescience.com/health/diagnostic-dilemma-a-man-went-to-the-doctor-for-a-bad-uti-and-learned-he-had-an-extra-kidney